腾讯网 / 2020.02.18 / 原文链接
截至 2020 年 2 月 17 日,随着新冠病毒肺炎疫情的不断发展,全国累计报告的确诊病例已达 70641 例,疑似病例 7264 例。新型肺炎的疫情,时时刻刻牵动着全国人民的心。目前已发现无明显症状的病毒携带者传染家人发病的案例,病毒扩散危机还未解除,而复产、复工的大潮已经开始,疫情防控工作正处于关键时刻,亟需全方位科技助力。
2020 年 2 月 8 日,国家卫健委办公厅和国家中医药管理局联合印发的《新型冠状病毒感染的肺炎诊疗方案(试行第五版修正版)》,将“疑似病例具有肺炎影像学特征者”作为湖北省临床诊断病例标准,这意味着影像学检测结果成为了“临床诊断病例”的判定依据。对于肺炎,影像学检查尤其是胸部 CT 扫描是非常重要的辅助检查手段,已经成为 PCR 检测试剂盒的重要补充。但是疫情期间,排队等待胸部影像检查的疑似患者数量猛增,造成影像医生工作负荷显著增加,加上可精准诊断、量化分析新冠肺炎的影像医生紧缺,诊断效率难以大幅提升。
如何用 AI 助力前线医生实现快速精准的诊断及分诊呢?自抗击新冠病毒肺炎战“疫”打响以来,点内科技的工程师团队和技术团队等积极投身于抗击疫情产品研发升级。听取一线专家意见并结合自身优势,夜以继日紧急研发出一套专门针对新型冠状病毒肺炎 AI 辅助筛查系统,并投入一线使用。
新冠病毒感染的潜伏期较长,目前疑似病例数量巨大,目前也有报道无明显症状的病毒携带者传染家人发病的案例,这对疫情防控来说无疑是巨大的挑战。
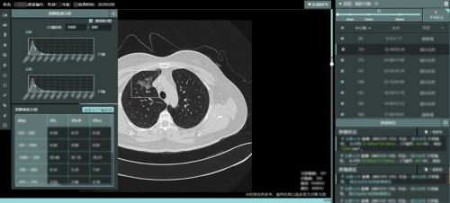
点内科技在原有强大的肺部 AI 辅助诊断系统的基础上,对新型冠状病毒肺炎筛查进行了专门的强化,可以早期发现散发的磨玻璃影,针对早期炎症做出快速准确的检测,同时提供双肺密度、双肺体积分析等参数对患者双肺的总体感染情况做直观的展示,协助医生对病情进行多维度评估,随访对比功能可以很好的观察到同一病灶在不同时间的变化情况,用于新冠肺炎早期的大规模病例影像筛查,检出率高,可以快速对无症状感染者和早期患者进行鉴别和排查,有助于疫情的防控。同时为保障系统更有效的服务一线,点内团队也制定了迭代计划,依据现场使用情况及时做出优化,为战“疫”保驾护航!

因为 CT 对新型冠状病毒性肺炎检出率高,是新冠肺炎的重要检查手段,所以是疫情攻坚的重要环节。自新冠肺炎疫情爆发以来,各家医院影像科医生严阵以待,每天除完成本职工作外,还需要额外帮助有流行病学史的发热患者进行 CT 检查,胸部 CT 检查量暴涨,医生每天阅片工作量巨大,肉眼读片难以准确进行定量分析,对判断肺部病变程度分级困难。患者往往需要排队几个小时来进行影像检查,同时也增加了交叉感染的风险。
点内科技肺炎 AI 辅助筛查系统目前已经在赣州市立医院等多家医院投入使用,助力疫情防控一线。
“根据目前临床经验,肺部影像表现有时早于临床症状,所以 CT 检查对临床早期诊断是很重要的。面对每天如此大的 CT 检查量,CT+AI 的工作模式可以为一线医生节省精力和时间,这套 AI 系统可以量化评估肺部感染情况,可以协助医生进行炎症评估。”赣州市立医院影像科刘金生主任表示。

点内科技肺炎 AI 辅助筛查系统采⽤ CT 影像处理和人⼯智能深度学习技术,将 AI 应⽤到肺部 CT 影像识别和辅助诊断。早先出现新冠肺炎病毒携带者多次核算检测呈现阴性导致漏诊而出现家庭聚集发病的案例。肺炎特别版优势在于快速检测到早期病变,如散发的磨玻璃影,高效准确的发挥 CT 辅助诊断,可以快速对无症状感染者和早期患者进行鉴别和排查。同时 AI 加快了医生的诊断速度,减少了患者排队时间,降低了患者交叉感染的风险。
随着这套 AI 系统在多个城市定点收治医院落地,我们希望在应对新型冠状病毒疫情上,能够帮助定点收治医疗机构提升针对新冠肺炎的诊疗效率,为超负荷工作的医生节省精力和时间,提高筛查效率。我们用AI与一线医务工作者共同构筑一道防线。
复旦大学附属华东医院李铭教授表示:“该新冠肺炎 AI 辅助诊断系统是在既往肺部早期肺癌筛查及诊断的优势基础上开发的肺炎检测及诊断、评估系统,除了采用肺炎累及的范围来反映病变的程度之外,也结合了病变局部的密度(纯磨玻璃,部分实性及实性)来体现病变的局部严重程度,非常直观的反映了病变的范围和程度,对于影像诊断的客观、准确评估及诊断效率的提升具有重要的价值。”
特别鸣谢:感谢上海复旦大学附属华东医院、上海交通大学附属瑞金医院、赣州市立医院、赣州市第五人民医院各位专家及奋战在抗疫一线医师们在产品开发过程中给予的指导与支持!